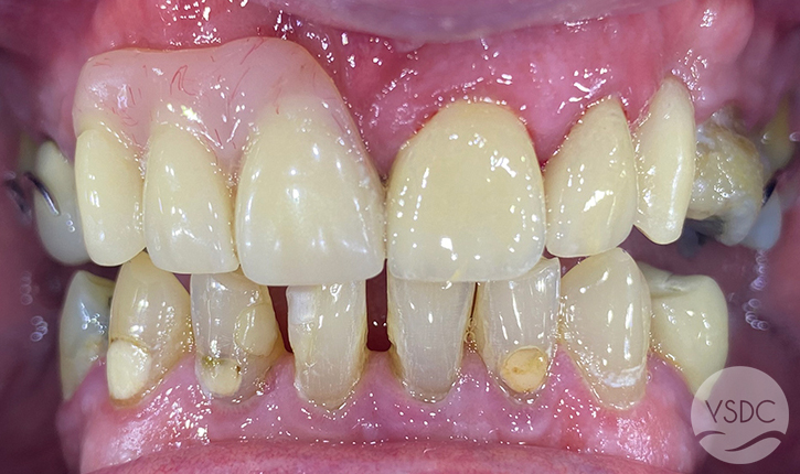
Crowns

Crowns, often made from porcelain, are small ‘caps’ which are made to to fit onto an existing tooth. Crowns can also be attached to implants and are designed to look very natural.

See below for some examples of work we have completed here at YSDC.