Fixed Orthodontics

Are you looking to achieve a beautiful, straighter smile? If your teeth are crowded and/or crooked, then Justin, our Clinical Director offers fixed orthodontic treatments right here in the practice. 

Fixed orthodontics have a number of benefits – one big one being that once your fixed brace is in place, it does all the hard work because it’s in place all the time.  Fixed braces have come on a long way in recent years and are much more delicate and discreet than they used to be. Justin can also look at a tooth coloured parts to maximise discretion.

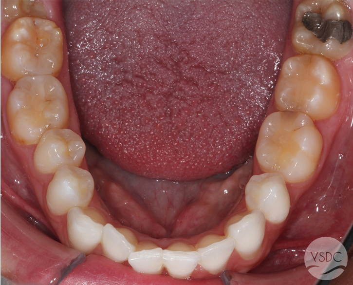
Our Operations Director, Jill had fixed orthodontics completed by Justin. She had fixed braces as a teenager but she didn’t wear her retainer as much as she should have and over time her teeth lapsed back towards their original position. Jill was delighted to get them straghtened, as it had always annoyed her that she had let her original treatment lapse.

See below for some photographs of Jill’s journey and her progress. She is also happy to speak to any patients who have specific questions from the patient’s perspective: